
提到“肺更始”,许多东说念主的第一反映是反复维持、周期漫长。但在湖南省肿瘤病院,一次高精度放疗,就为一位患者同期惩处了三个微微恙灶,把复杂问题处理得高效而精确。
诊疗难点:微小、多发、毗邻危急器官
来自邵阳40岁的患者彭女士(假名),曾因左大腿滑膜赘瘤采纳过系总揽疗。术后复查时,却发现双肺出现了三个新的更始灶。
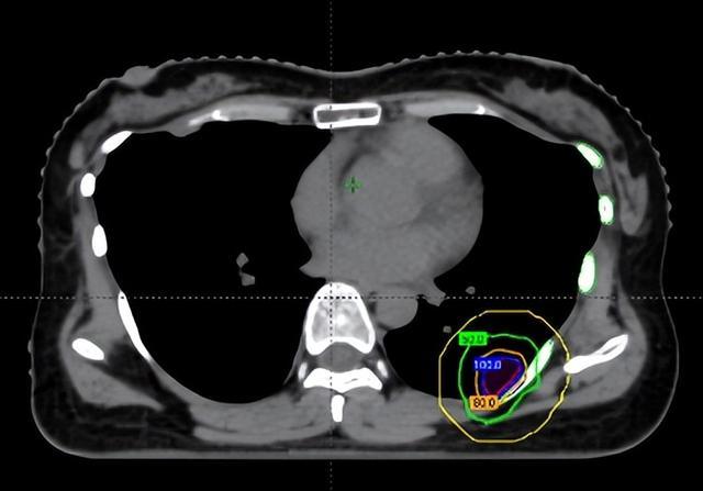
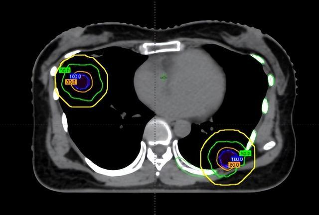
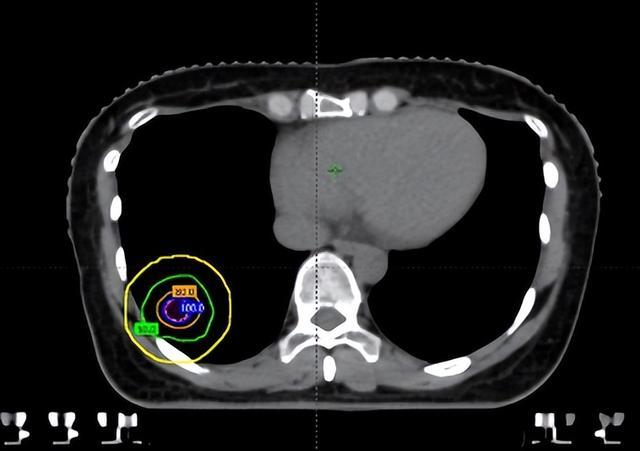
这三个病灶有几个共同脾气:一是体积很小,直径均不到1厘米;二是位置分散,折柳位于不同肺叶;三是其中一个紧贴肋骨,着实莫得“安全距离”。
这也意味着维持必须相配“拿捏分寸”:剂量低了,肿瘤清不干净;剂量高了,又可能伤到肋骨,带来疾苦以至骨折风险。传统放疗在这种情况下,常常会有所牵挂。
技巧破局:把放疗酿成“紧密雕塑”
濒临这么的远程,湖南省肿瘤病院胸部放疗二科胡英评释注解团队集中放疗玄虚技巧部,选拔了EDGE速锋刀立体定向放疗。
浮浅来说,这项技巧就像一把“无形的手术刀”,买球投注平台app官网毋庸开刀,就能在体内精确锁定肿瘤进行打击。
但真确的谬误,在于“紧密”两个字。
在维持前,团队通过四维CT对三个病灶进行精确定位,尤其是紧贴肋骨的阿谁病灶,连与肋骨之间极其微弱的裂缝齐被明晰标注出来。
随后参加最中枢的剂量狡计局势。胡英评释注解与李忠伟、雷大明物理师反复推演射澄清径和强度分散,把高剂量区域严格戒指在肿瘤鸿沟内,同期让剂量在极短距离内飞速下跌。不错清醒为,快乐飞艇在体内完成了一次“毫米级雕塑”:肿瘤被精确遮盖,而近在目前的肋骨却被保护在安全鸿沟内。



一站式完成:成果与职守双优化
与许多东说念主假想不同,这么高难度的维持并不需要反复进行。
依托速锋刀系统的高成果,此次维持在一次疗程中就完成了对三个病灶的一齐照耀。对患者来说,不仅减少了屡次往复病院的时候资本,也裁汰了举座维持用度,扫数进程愈加简单、可承受。
彭女士维持进程成功,仅出现微弱疲钝,无辐照性肺炎等常见并发症,更无肋骨及胸膜关连不适,生存质料未受影响。
内行不雅点:精确放疗正在更正取舍
胡英评释注解暗意,这个病例的深嗜不仅在于“完成了一例复杂维持”,更在于提供了一种新的念念路:关于体积小、数目有限、位置非凡的更始瘤,未必不错通过精确放疗杀青一次性断根,而不必依赖反复手术或恒久拖延。
换句话说,畴昔常见的“两难”——既要澈底磨灭肿瘤,又要保护时常组织,如今正在被技巧冉冉随和。
从“戒指”到“断根”:维持正在变得更有温度
跟着速锋刀等精确放疗技巧的熟练诳骗,肿瘤局部维持的鸿沟正在被不停拓宽。关于不适捏术、或不肯采纳屡次侵入性维持的患者来说,这种高精度、低创伤的格式,正在成为越来越进攻的取舍。
从“尽量戒指”到“精确断根”,变化的不仅仅技巧,还有患者的生存质料和维持体验。湖南省肿瘤病院也正通过一次次奉行,让肿瘤维持更有分寸——既有劲度快乐飞艇下载,也有温度。
快乐飞艇APP官方网站